關於我們
醫療團隊
植牙重建
一日全口重建
數位微創植牙
水雷射牙周治療
診療項目
兒童牙科
牙齒矯正
前牙美學
牙齒美白
牙科專欄
芎林全瓷貼片
首 頁
芎林全瓷貼片
現在越來越多人追求牙齒看起來更整齊、有光澤,所以不少人都會考慮美白牙齒或全瓷貼片這類方式。這兩種處理方向不太一樣,貼片主要用來修飾牙齒的型態與排列,美白則多半是針對色澤做調整。有些人會搭配使用,也有人選擇其中一種,重點還是要先評估牙齒本身的條件。在星宇牙醫,不管是來自竹東、芎林的患者,我們會先充分討論目前的狀況與預期目標,再提供合適的處理建議。無論你是正在尋找美白牙齒的方式,或是對全瓷貼片感到好奇,我們都相信,只要開始願意思考,就能一步步靠近你理想中的笑容。
在星宇,我們不是直接幫患者決定方案,而是會從理解開始,透過初診會談的過程,先確認你對自己牙齒現況的看法。之後會做數位影像模擬與初步分析,讓你清楚知道貼片的呈現可能性與適合程度。對我們而言,全瓷貼片不是只為了好看,更是一種精細的設計與協調工作。貼片的薄度、色澤、光澤感,都需要精密測量與細節調整,這些小地方才會讓整體效果自然、穩定。如果你來自芎林或竹東附近,也許只是想先看看自己有哪些選擇,那就歡迎你來星宇牙醫診所坐坐。一段對話,也許就能讓你對自己的笑容,有全新的期待。
為何你該選擇全瓷牙冠?
01.
堅固
傳統金屬牙冠(包括金屬瓷牙)硬度不如全瓷牙冠
02.
密合
傳統牙冠製作過程易變形、密合度不佳
03.
無金屬
傳統牙冠含金屬離子,會造成牙齦不可恢復的染色
04.
美觀
傳统牙冠不透光、無法重建自然牙美觀
05.
相容性佳
傳統牙冠易造成牙齒發炎、過敏與敏感性問題
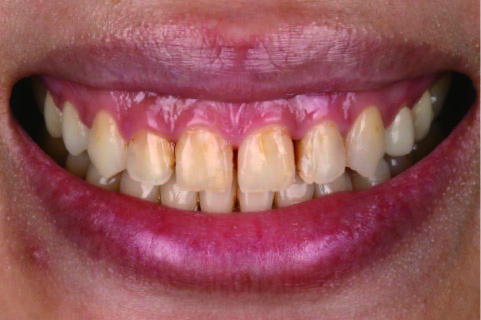
全瓷廷與貼片修復美學臨床案例
CASE 1
美觀牙冠增長
全瓷修復
利用3D技術設計欲增長的牙冠,並製作成一體成型的高強度修復體。
CASE 2
斷齒修復
CASE 3
雷射牙齦增長、牙縫關閉、美白貼片
其他案例術前術後比對圖
美白需求一覽表
噴砂美白
冷光美白
居家美白
全瓷貼片
作用
物理性清除
表面染色
化學藥劑改變
牙齒本質顏色
化學藥劑改變
牙齒本質顏色
物理性遮蓋
牙齒顏色
優點
安全性高
費用較低
效果好
所需時間短
較不敏感
可隨時配戴
立即見效
不會染色褪色
缺點
易有難聞異味
無法改變顏色
易術後敏感
花費時間較長
需修磨牙齒
效果
好(僅限染色)
很好
好
(依配戴習慣)
極好
維持
依個人飲食及清潔習慣
1-3年
1-3年
10-15年
適合對象
因抽菸、飲食習慣造成染色
牙齒無染色但顏色偏黃者
希望立即見效
牙齒無染色
但顏色偏黃者
美觀需求高者
需立即見效者