BLEACHING
牙齒美白
透過去除牙齒上的色斑和變色恢復牙齒亮白,方法包括牙醫使用的專業美白(噴砂美白、冷光美白)和居家美白套裝,效果顯著且持久。
噴砂美白
抽菸、平時愛喝咖啡和茶的你
所需時間較短,安全性高,物理性清除牙齒表面污垢染色,恢復牙齒顏色。維持期依個人清潔及飲食管理而定,可定期重複操作。

牙齒表面因染色造成之污垢

利用噴砂美白技術之成效
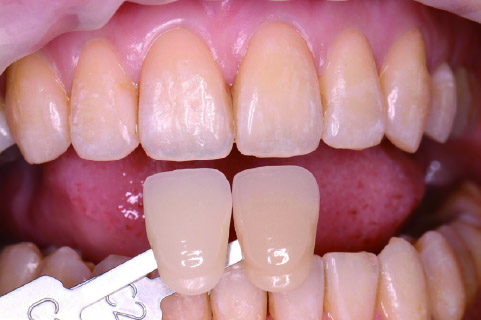
冷光美白
希望立即顯著改善牙齒色階的你
全程由專業醫師進行操作,能夠明顯改善牙齒色階,立即見效。

將牙齒清潔後,做原本牙齒比色

牙齦塗上保護劑,牙齒塗上美白劑

照射3次冷光療程,每次療程10分鐘

最終顯色比原本牙齒白5-6個色階
居家美白
平時忙碌無暇看診的你
美白劑濃度比較低,術後的敏感問題較小,操作方便,可於任意時間進行,但需配戴較久時間,美白效果較慢。

印模後製作專屬於你的個人牙托
隨著配戴時間越長
美白效果會愈來愈顯著